|
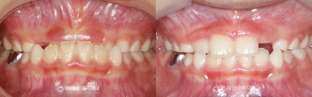
초등학생 부정교합 치료전후 (반대교합, 프리올소)
|
|---|
|
● 담당과 : 교정과
반대교합을 주소로 내원한 초등 2학년 남아입니다.
▲ 치료전 엑스레이 (촬영시기 : 2024년 9월)
위 어린이는 턱뼈의 골격적인 문제가 발생하면서
단순한 치아 배열의 문제라면 영구치가 거의 다 맹출한 12~13세에 교정치료를 시작해도 되지만,
▲ 치료전 안모 (촬영시기 : 2024년 9월)
아랫니가 거꾸로 깊게 물리는 심한 반대교합으로
프리올소는 치아 배열뿐 아니라 턱 성장 방향을 유도해 올바른 얼굴 균형을 잡아주고,
▲ 프리올소 치료후 (촬영시기 : 2025년 8월)
약 11개월 간의 프리올소 치료를 통해
더불어 얼굴의 균형을 잡아줌으로써 한층 자연스럽고 아이의 외모적인 자신감도 회복하였습니다.
성장이 끝난 성인은 시간이나 비용적으로 더 큰 기회비용이 들 수 밖에 없습니다.
치료 받으시느라 고생 많으셨습니다. ^^
※ 모든 사진은 환자 본인의 동의를 얻어 동일조건에서 촬영하였으며 |

하악 골융기(토러스, torus) 제거, 치조골성형술 치료전후

핀홀 동반한 아랫니부분교정(치주교정) 치료전후

잇몸뼈이식 동반 어금니 임플란트 치료전후 (치과의사 선생님)

돌출입치아교정 치료전후 (발치, 미니스크류 활용)

거미스마일 구강전정술 치료전후 – 20대 여성

핀홀 잇몸재생치료 전후 – 20대 여성

전체임플란트 – 급속골이식을 동반한 브릿지임플란트 치료전후

잇몸퇴축, 아랫니 부분교정 치료전후 – 30대 여성, 치주교정

대상포진으로 인한 잇몸궤양, PDRN 치료전후

잇몸이식 및 임플란트 재수술 치료전후 - 20대 남성

치주교정을 통한 치아위치 개선, 앞니 부분교정 치료전후 (재교정)

잇몸검은색, 까만잇몸 개선하는 잇몸미백 치료전후