우리나라는 전 세계에서 단위인구당 임플란트 식립수가 가장 많은 국가입니다.
만 65세 이상에게 임플란트의 의료 급여화가 이루어졌고
치과의사의 70% 이상이 임플란트 식립수술이 가능하기 때문입니다.
연구에 따르면, 초기 1년내 문제가 없고 적절하게 관리된 기준으로
임플란트 10년 성공률은 90~95%이며, 20년 성공률은 80~85% 입니다.
적절히 관리가 되지 않는다면
임플란트의 10~20%는 문제가 생길 수 밖에 없다는 뜻 입니다.
문제는 임플란트 재수술은 결코 쉽지 않습니다.
연세굿데이치과는 여러가지 이유로 인해 발생한 임플란트 문제점의
근본적인 원인을 진단하여 기존 임플란트를 되살리거나 재수술을 진행합니다.

원인
임플란트 초기유착 실패
임플란트 기계적 합병증
임플란트 생물학적 합병증
비율
10%
30%
60%
내용
· 애초에 골이 약한 경우
· 골 재생능력이 떨어지는 경우
· 임플란트 식립체 파절
· 임플란트 연결 부품이나 나사의 파절
· 연결나사의 반복적 풀림
· 크라운(머리부분)의 파절 및 마모
· 임플란트 주위 점막염
· 임플란트 주위염 (치조골 흡수 발생)
· 각화치은 부족, 가동 점막의 침범
· 농양 및 부종
· 심각한 골흡수로 동요도 발생
증상



치아를 발치한 원인이 되었던 안 좋은 구강위생 습관은
임플란트 치료 후에도 그대로 남아있는 경우가 많습니다.
구강위생에 소홀하면 ‘임플란트 주위염’이 발생하여
인공뿌리의 반 이상의 뼈가 녹으면 임플란트를 제거하고
다시 처음부터 임플란트 재수술을 해야 합니다.
하지만 임플란트는 자연치아와 달리 골 파괴가 빠르고
광범위하게 일어나 재건이 쉽지 않습니다.
임플란트 치아가 불편한 증상을 오래 방치하면
주위의 자연치아들도 망가질 수 있으니
임플란트 후 정기적인 치과검진은 적극적으로 받으시길 바랍니다.
임플란트를 식립한 후 관리에 소홀한 사람들이 많습니다.
하지만 임플란트는 자연치아보다 더 세심한 관리가 필요합니다.
그렇지 않으면 임플란트 주변에 생기는 염증성 질환인
‘임플란트 주위염(Peri-implantitis)’이 발생하게 됩니다.
임플란트 주위염 증상은 ‘치주염(잇몸병)’과 비슷합니다.
잇몸에서 피와 고름이 나고, 냄새가 나며
잇몸이 붓거나 내려가고 통증도 발생할 수 있습니다.
임플란트 주위염의 마지막 증상은
인공 뿌리끝까지 뼈가 녹아서 임플란트가 흔들리는 것입니다.
이러한 경우 흔들리는 임플란트를 제거하고 다시 재수술을 해야 합니다.

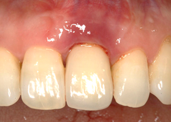
치은염처럼 임플란트 주위의 잇몸에만 염증이 국한되어 있는 상태로
대부분 임플란트를 한지 얼마 안된 시기에 발생하며
통계적으로 임플란트 환자의 50% 가까이에서 흔히 관찰됨
1. 기계적인 치태 제거 : 스케일링 및 임플란트 표면 세척
2. 보철물 형태 변경 : 자가 또는 전문가 세정이 어려운 경우, 형태 변경 진행
3. 외과적 처치 : 큐렛을 이용하여 부가적인 오염 제거 및 항생제 약물처치
치주염처럼 임플란트 주위 잇몸의 염증이 심해져 잇몸뼈가 녹은 상태로
계속 진행되면 임플란트 뿌리가 흔들리고 빠지게 됨
치주 치료로 개선되기 힘들 정도의 상태라면, 주변 치아들도 망가질 수 있기
때문에 기존 임플란트를 제거하고 다시 재수술 진행
1단계 - 임플란트 주위 점막염 사례
2단계 - 임플란트 주위염 사례
임플란트 재수술은 첫 수술보다 훨씬 힘들고 어려운 수술입니다.
임플란트는 골에 유착이 되어 있으므로 마지막 1mm까지 골을 삭제해야
임플란트가 나오기 때문입니다.
게다가 기존 임플란트의 뿌리가 잇몸뼈에 유착되어 있을 경우
주변 조직과 엉겨 붙어있는 부분을 다 제거하면 안 되고
원래의 잇몸뼈를 보존하면서 제거해야 합니다.
만약 주위염이 위쪽 어금니에 발생했을 경우
임플란트 제거시 자칫 위턱뼈 코 양옆에 존재하는 상악동이 뚫려
염증이 퍼지는 축농증이 발생할 수도 있습니다.
또한 중요한 신경과 혈관이 지나가는 하악은 잇몸뼈가 얇은 경우
임플란트를 제거하거나 식립할 때 하악신경을 손상시켜
감각 손실이나 통증 등을 유발할 수 있어
임플란트 재수술은 첫 수술보다 훨씬 섬세한 기술이 요구됩니다.
따라서, 임플란트 재수술은 수술의 경험이 많고 구강내 해부학에 대한
이해가 많은 술자가 진행해야 다음에 심을 임플란트도 잘 심을 수 있습니다.
연세굿데이치과는 골 유착이 완전히 이루어진 임플란트도
주변 조직의 손상 없이 간단히 제거할 수 있는
여러 특수 기구들을 보유하고 있습니다.
(Neo Fixture Removal Kit, Dental Studio Guided Trephine bur, Implant forcep 등)
기존 임플란트는 특수 키트로 뼈 손실을 최소화하며 제거하는데
만약 키트로도 제거가 잘 안된다면 특수 트레핀버를 사용해야 합니다.
이때 골파괴가 심해지지 않도록 주의해야 합니다.
또한 기존 픽스쳐를 제거한 후, 뼈의 손실을 최소화하기 위해
‘골이식재’와 ‘천연 콜라겐 차폐막’을 함께 이식하는 급속 골이식(i-GBR)을 하여
각화치은의 두께를 최대한 두툼하게 보존 및 재생해야 합니다.
본원의 임플란트 재수술 프로그램인 ‘아이리셋(i-Reset)’은
임플란트 제거와 동시에 급속 골이식을 한 후 3개월을 기다리고
잇몸뼈가 회복되면 임플란트 식립 후 3개월을 다시 기다려
최종 보철을 완성하는 3+3, 2단계 복구 프로토콜입니다.

혈압약 복용중 · 당뇨 · 고지혈증 · 수술이력(쓸개절제술)
골흡수 예방을 위해 급속 골이식(i-GBR) 진행
타원 임플란트 제거 후 이상적인 크라운 제작이 가능한
위치에 재식립
덴티움 4.5mm 핀으로 근단변위판막술 함께 진행
(각화치은 증강)
임플란트 주변 치조골 소실이 심한 상태
급속 골이식(i-GBR) + 네비게이션을 이용한 재수술
앞니는 쉐이드(주변 치아색상) 체크하여 보철물 제작
3+3, 2단계로 완벽 복구
골다공증 주사치료(6개월에 한번씩), 혈압약 복용중
부골(뼛조각 자체가 잇몸 밖으로 밀려나오는 현상) 관찰
보험 임플란트로 경제적인 재식립 치료 진행
구강내 낭종 적출술 + 급속 골이식(i-GBR) 시행
타원 브릿지 손상, 임플란트 스크류 파절, 픽스쳐 파절
타원 브릿지 손상, 임플란트 스크류 파절, 픽스쳐 파절
고령이셔서 치료부위를 나누어 안전한 방향으로 치료
3+3, 2단계로 완벽 복구
#11 #12기존 임플란트 너무 깊고 서로 가깝게 식립
뼈의 높이(bone level)가 낮은 상태
#13 뿌리와 가까워서 #13 치아도 임플란트 불가피한 상황
#11 #13 임플란트 재식립 + 브릿지 연결, 심미적 결과 확보

임플란트 재수술 임플란트 염증 | 연세굿데이치과
연세굿데이치과 | 임플란트 재수술, 임플란트 재식립, 임플란트 염증, 임플란트 주위염, 임플란트 빠짐, 임플란트 부작용 임플란트 수술 후 적절히 관리가 되지 않는다면 임플란트의 10~20%는 문제가 생길 수 밖에 없습니다. 임플란트 수술 후 여러가지 이유로 임플란트 주위염이 발생하여 임플란트 실패를 한 경우, 특수 기구로 뼈손실을 최소화하며 기존 임플란트 제거 후 임플란트 재수술이 필요할 수 있습니다. 임플란트 재수술은 골에 유착이 되어 있어 마지막 1mm까지 골을 삭제해야 임플란트가 나오기 때문에 첫 수술보다 훨씬 힘들고 어려운 수술입니다. 연세굿데이치과의 임플란트 재수술 프로그램인 아이리셋(i-Reset)은 임플란트 제거와 동시에 급속 골이식을 한 후 3개월을 기다리고, 잇몸뼈가 회복되면 임플란트 식립 후 3개월을 다시 기다려 최종 보철을 완성하는 3+3, 2단계 복구 프로토콜입니다.
시각장애인을 위한 텍스트 정보 영역입니다.