
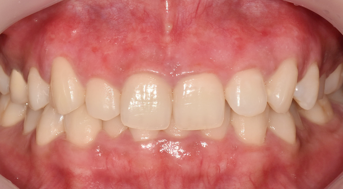
AFTER ㅣ 2024년 3월 정기검진
BEFORE ㅣ 2024년 2월



잇몸미백 (잇몸이 까매요) | 연세굿데이치과
연세굿데이치과 | 잇몸이 까매요, 잇몸미백, 잇몸이 검은색 잇몸이 검은색처럼 변하는 이유는 유전이나 흡연, 오래된 보철물로 잇몸에 멜라닌 색소분비량이 많아졌기 때문입니다. 병적인 소견은 아니지만 미관상 문제가 될 경우 멜라닌 색소가 쌓인 잇몸표면을 제거해주면 어두운 잇몸층이 박피되면서 선홍빛으로 자연스럽게 회복합니다. 잇몸미백은 약 10분정도 소요되는 비교적 간단한 시술로 적은 통증, 짧은 회복기간이 가장 큰 장점입니다. 잇몸의 멜라닌 세포층은 지속적으로 재생이 일어나기 때문에 1번의 미백치료로 영구적인 효과를 보장하는 것은 아닙니다. 따라서 잇몸미백은 3~4년 주기로 리터치를 해주면 '잇몸이 까매요'와 같은 고민없이 시술결과를 보다 오래 유지하실 수 있습니다.
시각장애인을 위한 텍스트 정보 영역입니다.