홈으로 이동하기 이벤트페이지로 이동하기 사업자정보로 이동하기
벌어진 치아
치아 사이 공간은 개인의 치아상태와 원하는 결과에 따라
당일에 간격을 메우는 레진, 최소삭제 라미네이트, 치아 배열을 바로잡는
교정까지 3가지 방법으로 치료를 권해드립니다
Teeth Spacing correction using Invisalign
인비절라인 클린체크 시뮬레이션
벌어진치아 교정 시뮬레이션 앞니 사이 틈 메우는 과정 미리보기
벌어진 치아의 문제점

치아 사이가 벌어져 있는 상태는 심미적으로 콤플렉스를
유발할 뿐만 아니라, 구강 건강에도 영향을 미칩니다.

특히 앞니가 벌어진 경우 웃거나 말할 때 시선이 신경 쓰여
자신감이 떨어질 수 있고, 이미지에도 영향을 줍니다.
틈 사이로 음식물도 잘 끼고 세균이 쉽게 번식해
구취, 충치, 잇몸 염증 등 다양한 문제를 일으킬 수 있으며,
제대로 관리되지 않으면 치주질환으로도 악화될 수 있습니다.

시간이 지나면 인접 치아가 빈 공간으로 움직이거나 기울어져
전체 치열이 틀어지고, 교합 불균형이나 턱관절 통증으로 이어지기도 합니다.

벌어진 치아는 자연적으로 개선되지 않기 때문에,
증상과 상태에 따라 레진, 라미네이트, 치아교정 등 맞춤 치료가 필요합니다.
미용뿐 아니라 기능적인 면까지 고려해 조기에 적절한 접근이 중요합니다.

벌어진치아로 생기는 발음문제 안내
새는 발음

벌어진 사이 공간으로 인해 ‘ㅅ’, ‘ㅆ’ 발음이 새거나
부정확해져 발음에 자신감이 떨어질 수 있습니다.

벌어진치아로 생기는 심미적 콤플렉스 안내
심미적 콤플렉스

웃을 때 치아 사이가 눈에 띄어 외모 스트레스를
유발하고 대인관계에 영향을 줄 수 있습니다.

벌어진치아로 생기는 잇몸염증 안내
잇몸 염증 및 음실물 끼임

벌어진 공간에 음식물이 자주 끼고, 잇몸에 자극이
반복되며 염증·치은염 위험이 높아집니다.

벌어진치아로 생기는 부정교합 안내
치아이동 및 부정교합

비어있는 공간을 중심으로 치아가 점점 기울거나
벌어져 전체 교합이 틀어질 수 있습니다.

치아 사이 공간은
레진 · 라미네이트 · 치아교정
3가지 치료법으로 해결할 수 있습니다!
  • 치료명

  • 벌어진치아 치료방법 레진

    레진

  • 벌어진치아 치료방법 라미네이트

    라미네이트

  • 벌어진치아 치료방법 치아교정

    치아교정

  • 장점

  • · 치아삭제 없음
    · 경제적인 비용
    · 당일 치료 가능

  • · 자연치아와 유사한 색상과 형태
    · 2~3주 내 완성

  • · 치아삭제 없음
    · 가장 자연스러운 결과

  • 단점

  • · 치아가 커보일 수 있음
    · 변색 가능성 있음

  • · 치아삭제 가능성
    · 보철교체 필요성

  • · 긴 치료기간
    · 높은 비용

  • 비용

  • 면적당 20만원

  • 치아당 60만원

  • 부분교정 200만원~
    전체교정 470만원~

벌어진치아

벌어진 치아는 단순히 보기에만 문제가 되는 것이 아니라
발음 이상, 음식물 끼임, 잇몸 염증 등 다양한 문제로 이어질 수 있습니다.

치아사이 간격의 위치, 넓이, 원인, 그리고 잇몸 상태에 따라
치료방법이 달라지므로, 전문의의 정확한 진단을 통해
가장 적합한 치료법을 선택하는 것이 중요합니다.

연세굿데이
벌어진 치아 치료사례
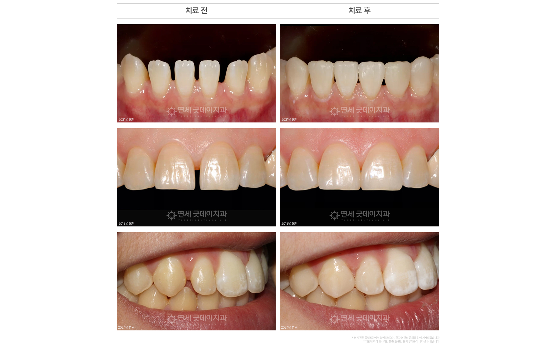
Case01
복합 레진수복 (Composite bonding)

벌어진치아 레진 치료 전후 사례 앞니 사이 틈 레진 치료로 매워진 치아
Case02
라미네이트 (Veneer)

벌어진앞니 라미네이트 치료 전후 사례 앞니 사이 간격 축소 형태 대칭 개선
Case03
치아교정 (Orthodontic)

벌어진앞니교정 치료 전후 사례 가장 자연스러운 앞니 치열 개선
				
				
					벌어진 치아 벌어진 앞니 레진 | 연세굿데이치과				
연세굿데이치과 | 벌어진 치아, 벌어진 앞니 레진, 벌어진 앞니 교정 벌어진 치아는 심미적인 문제뿐 아니라 음식물 끼임, 발음 불편 등 기능적인 문제를 유발할 수 있습니다. 치료 방법으로는 간단한 치간부 메움이 가능한 레진 치료, 짧은 기간 내 심미 개선이 가능한 라미네이트 치료, 치아 배열을 근본적으로 교정하는 치아교정 치료가 있습니다. 레진은 비교적 경제적이고 빠르지만 변색 가능성이 있고, 라미네이트는 자연스러운 색과 모양을 구현할 수 있으나 치아 삭제가 필요할 수 있습니다. 치아교정은 시간이 오래 걸리지만 재발 가능성이 적고 치아와 잇몸 건강에도 유리합니다. 환자 상태와 예산, 원하는 기간에 따라 맞춤 치료 계획을 세우는 것이 중요합니다.

시각장애인을 위한 텍스트 정보 영역입니다.