GOODDAY - GOOD NEWS
GOODDAYBEST REVIEW
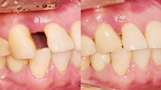
좋은 의료서비스는누구나 누릴 수 있어야 합니다. 지난 10년이 넘는 기간동안 같은 자리에서 오시는
많은 환자분들께 좋은 진료를 제공하기 위해
최선을 다해왔다고 자부합니다.
부족한 부분을 개선하고, 최신의 진료를 업데이트하며
언제나 깊이있는 치료를 제공하도록 노력하겠습니다.
소중한 리뷰 감사합니다.
-
연세굿데이치과의원을 찾아주시는 환자분들 중에는
현직 의료인들(의사, 치과의사, 약사, 간호사 등)이 꽤 많으십니다.
의료인들은 본인과 가족이 치료받을 병원을 선택할 때
그저 친한 지인의 병원을 선택하지 않습니다.
의료의 특성을 너무나 잘 알기에 정확한 진단, 술식, 안정성 등을 고려하여
더욱 꼼꼼이 찾아보고 신뢰할 수 있는 병원을 찾아갑니다.
의료인들이 직접 찾아와서 진료받고, 주변에 추천하는
연세굿데이치과의원은 앞으로도 좋은 진료서비스를 위해 최선을 다하겠습니다.

-
GOODDAY LINE-UP
GOODDAY SPECIAL TREATMENT
Goodday
TOGETHER STAR





















































































































































































































