|
잇몸퇴축, 아랫니 부분교정 치료전후 – 30대 여성, 치주교정
|
|---|
|
● 담당과 : 교정과
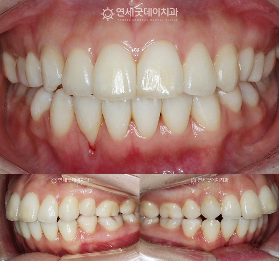
환자분은 오래 전 교정했던 치과가 폐업하면서 교정 유지관리가 미흡해지고 이러한 이유로 치근 위치가 이동하여 잇몸 밖으로 돌출되어 있는 상태였습니다.
이러한 경우 치주교정을 통해 치아를 올바른 위치로
🖍 ‘치아를 살리는 잇몸교정’ 치주교정 Options
환자분께 치주교정 2가지 옵션을 제안드렸으며
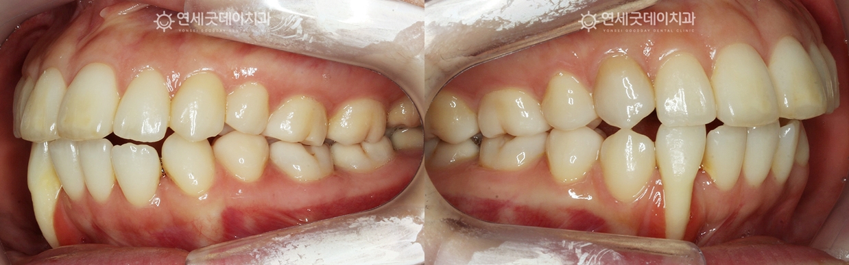
▲ 치료 중 (촬영시기 : 2025년 3월)
아랫니 부분교정으로 치아 배열을 개선하는 과정입니다.
치아가 잘못된 위치에서 잇몸뼈 안으로 올바르게 위치하면서
▲ 아랫니 부분교정 완료 (촬영시기 : 2025년 8월)
약 10개월 간의 치주교정 치료가 종결되었으며,
![]() ▲ 치주교정 치료전후 엑스레이 변화 (촬영시기 : 2024년 10월 / 2025년 8월) 엑스레이에서도 치료 전에는 하얗게 돌출되어 보이던 치근이
✔ 환자분은 추후 치주과와 협력하여 핀홀 수술을 통해
▲ 치주교정 치료전후 비교 (촬영시기 : 2024년 10월 / 2025년 8월)
잇몸이 불안정한 상태에서 무리한 교정을 진행하게 되면
연세굿데이치과는 교정과 – 치주과가 협력진료하여
올해 웨딩촬영을 앞두고 걱정이 크셨을텐데
※ 모든 사진은 환자 본인의 동의를 얻어 동일조건에서 촬영하였으며 |

하악 골융기(토러스, torus) 제거, 치조골성형술 치료전후

핀홀 동반한 아랫니부분교정(치주교정) 치료전후

잇몸뼈이식 동반 어금니 임플란트 치료전후 (치과의사 선생님)

돌출입치아교정 치료전후 (발치, 미니스크류 활용)

거미스마일 구강전정술 치료전후 – 20대 여성

핀홀 잇몸재생치료 전후 – 20대 여성

전체임플란트 – 급속골이식을 동반한 브릿지임플란트 치료전후

초등학생 부정교합 치료전후 (반대교합, 프리올소)

대상포진으로 인한 잇몸궤양, PDRN 치료전후

잇몸이식 및 임플란트 재수술 치료전후 - 20대 남성

치주교정을 통한 치아위치 개선, 앞니 부분교정 치료전후 (재교정)

잇몸검은색, 까만잇몸 개선하는 잇몸미백 치료전후