홈으로 이동하기 이벤트페이지로 이동하기 사업자정보로 이동하기
전체임플란트 – 급속골이식을 동반한 브릿지임플란트 치료전후
관리자프로필

연세굿데이치과

치료사례 2025-10-23 조회수 956

● 담당과 : 치주과 + 구강외과
● 치료요약 : 급속골이식을 동반하여 브릿지 임플란트 시행

 

전체임플란트 상담을 희망하여 내원해주신 50대 여성 환자분이십니다.

 

전체임플란트를 희망하여 내원하셨으며 치아가 빠지고 골소실이 상당수 진행됨
▲ 치료 전 X-ray (촬영시기 : 2023년 3월)

 

앞니를 포함하여 듬성듬성 치아가 빠진 상태였으며
전체적으로 골소실이 많이 진행된 모습이 관찰되었습니다.

 

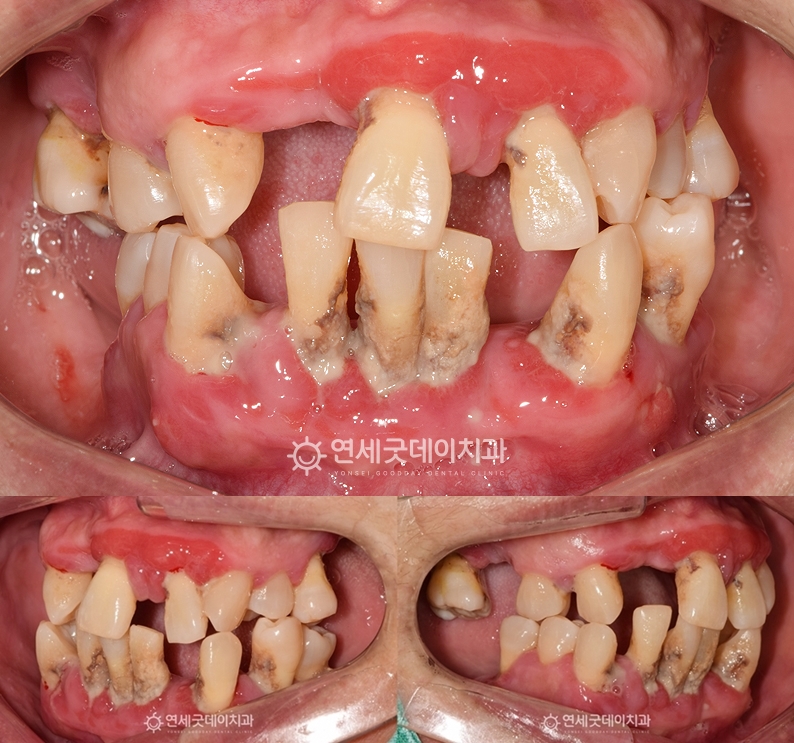
▲ 전체임플란트 치료전 구내

(촬영시기 : 2023년 3월)

 

치아와 잇몸 주변으로 치석 침착이 심하고 전반적으로 염증이 동반되어 있는 모습입니다.

잇몸뼈가 소실되면서 치아를 지탱하는 힘이 약해져
치아 배열의 불균형과 교합이 붕괴된 상태셨는데요.

 

이미 다수의 치아가 상당수 손상된 상태로 전체임플란트가 불가피했지만 환자분께서는 자연치아 보존을 희망하셨습니다.


이에 잔존 치아 중 보존 가능한 치아는 최대한 살리고
브릿지임플란트를 통해 기능적, 심미적 개선을 동시에 회복할 수 있는 치료계획을 수립했습니다.

 

브릿지임플란트 치료전 치근낭적출술 시행함
▲ 치료전 발치 및 치근낭적출 진행

(촬영시기 : 2023년 3월)

 

손상이 심한 치아들은 모두 발치하였으며
#15 치아의 경우, 치아 뿌리 끝에 낭종이 존재하여 적출술을 동반하였습니다.

 

전체임플란트 중 브릿지임플란트 연결을 위해 필요한 부위에 픽스쳐를 식립함
▲ 임플란트 식립 (촬영시기 : 2023년 7월)

 

급속골이식을 동반하여 두툼한 잇몸을 만들어주고,
전체임플란트를 위해 꼭 필요한 자리에만 임플란트를 식립한 모습입니다.


======================
⭐ 전체임플란트 Point
======================

치아가 대부분 빠져서 전체임플란트가 필요한 경우라도

모든 치아를 발치 부위마다 식립할 필요는 없습니다.
필요한 위치에만 식립하고, 브릿지임플란트로 연결하면

경제적이면서도 자연치아에 가까운 저작기능을 회복할 수 있습니다. ^^

 

전체임플란트 치료 종결 후 엑스레이 모습 - 급속골이식으로 두꺼운 잇몸뼈 형성 및 브릿지임플란트 연결
▲ 브릿지임플란트 치료 종결

(촬영시기 : 2023년 10월)

 

골소실 심했던 부위에는 급속골이식을 병행하여 단단하고 뚜거운 잇몸조직이 형성되었고
브릿지임플란트를 통해 전체적인 구강기능과 형태가 재건되었습니다.

 

전체임플란트 종결 후 구내모습
▲ 브릿지임플란트 치료 후 구내

(촬영시기 : 2023년 10월)

 

살릴 수 있는 자연치아는 보존적 처치를 시행하였으며
치료가 필요한 부위는 전체임플란트로 건강한 잇몸과 자연스러운 보철로 마무리했습니다.

 

그동안 심한 염증과 흔들리는 치아로 인해 식사조차 어려워하셨으나

치료 후에는 편안하게 음식을 드시며 높은 만족감을 드러내셨습니다.

 

전체임플란트 치료전후를 비교한 구내모습이며 급속골이식과 브릿지임플란트로 기능 재건
▲ 브릿지임플란트 치료전후 비교

(촬영시기 : 2023년 3월 / 2023년 10월)


연세굿데이치과에서는 임플란트를 전문적으로 시행하고 있지만
자연치아가 지닌 고유한 가치와 기능은 임플란트가 대체할 수 없는 것을 알고 있습니다.
따라서 살릴 수 있는 치아가 있다면 늘 최대한 보존적 처치를 우선으로 고려하고 있는 점 참고해주시길 바랍니다.

 

긴 치료 받으시느라 고생 많으셨습니다. ^^

 

 

⊙ 모든 사진은 환자 본인의 동의를 얻어 동일조건에서 촬영되었습니다.

개인의 차이에 따라 치료 후 부작용이 발생할 수 있으므로 의료진과 충분한 상담을 거치시길 바랍니다. 

1 2 3 4 5