|
돌출입치아교정 치료전후 (발치, 미니스크류 활용)
|
|---|
|
● 담당과 : 교정과
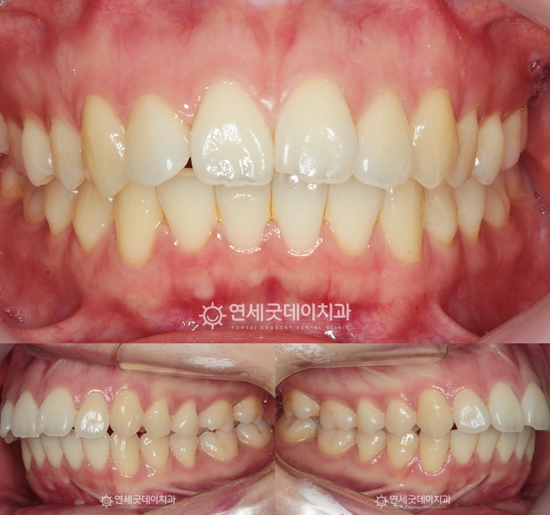
돌출입치아교정을 주소로 내원해주신 20대 여성 환자분입니다.
▲ 치료 전 엑스레이 (촬영시기 : 2023년 8월)
엑스레이를 보면 하악에 비해 상악의 전방돌출이 심하고
▲ 치료 전 안모 (촬영시기 : 2023년 8월)
환자분은 잇몸뼈의 돌출이라기 보단, 치아 자체가 앞으로 튀어나온 돌출입 케이스였는데요.
입을 다물면 턱선이 무턱처럼 둥글게 보이고
환자분은 상악 #14, 24 두개 치아를 발치하고
약 1년이 경과한 모습입니다.
상악에 미니스크류를 식립하여 고무줄을 걸어
아랫니 보다 윗니가 다소 돌출되어 있었기 때문에
▲ 돌출입치아교정 종결 (촬영시기 : 2025년 11월)
2년여 간의 발치 교정을 마무리하였습니다.
치아 배열은 물론 뻗쳐있던 앞니 각도가 개선되고
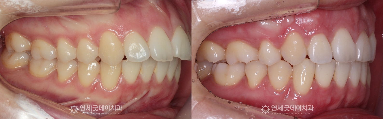
▲ 치료후 안모의 변화
안모에서도 드라마틱한 변화가 생기며
▲ 돌출입치아교정 치료전후 비교
무턱에서 턱이 길어지고 턱선이 살아나는 방향으로 개선되고 환자분처럼 전형적인 돌출입의 경우 발치했을 때
긴 치료 받으시느라 고생 많으셨습니다. ^^
※ 모든 사진은 환자 본인의 동의를 얻어 동일조건에서 촬영하였으며 |

하악 골융기(토러스, torus) 제거, 치조골성형술 치료전후

핀홀 동반한 아랫니부분교정(치주교정) 치료전후

잇몸뼈이식 동반 어금니 임플란트 치료전후 (치과의사 선생님)

거미스마일 구강전정술 치료전후 – 20대 여성

핀홀 잇몸재생치료 전후 – 20대 여성

전체임플란트 – 급속골이식을 동반한 브릿지임플란트 치료전후

잇몸퇴축, 아랫니 부분교정 치료전후 – 30대 여성, 치주교정

초등학생 부정교합 치료전후 (반대교합, 프리올소)

대상포진으로 인한 잇몸궤양, PDRN 치료전후

잇몸이식 및 임플란트 재수술 치료전후 - 20대 남성

치주교정을 통한 치아위치 개선, 앞니 부분교정 치료전후 (재교정)

잇몸검은색, 까만잇몸 개선하는 잇몸미백 치료전후