|
핀홀 동반한 아랫니부분교정(치주교정) 치료전후
|
|---|
|
● 담당과 : 교정과 + 치주과
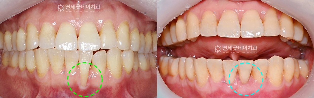
▲ 치료 전 정면 (촬영시기 : 2024년 12월)
육안으로도 아래 앞니의 잇몸이 많이 내려간 게 관찰됩니다.
환자분은 대학생 시절 교정치료를 하셨고
이러한 경우, 2가지 치주교정 옵션을 고려할 수 있는데요.
▲ 아랫니부분교정 진행 중 (촬영시기 : 2025년 5월)
약 5개월 간의 아랫니부분교정만으로도
‘치주교정’은 잇몸뼈 밖으로 돌출된 치아를
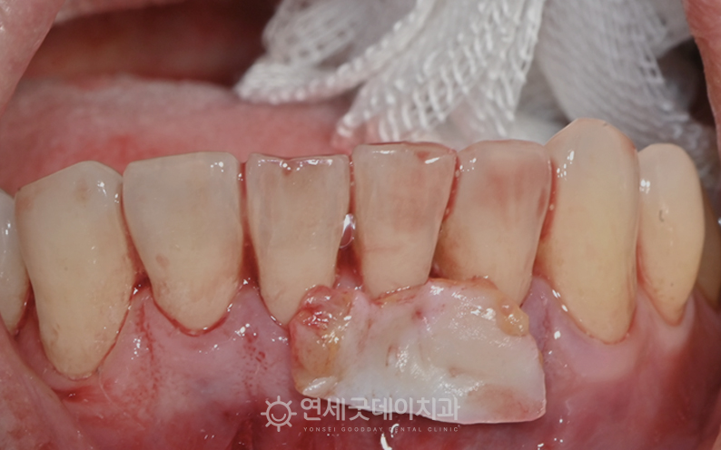
▲ 아랫니부분교정 종결 후 핀홀 과정 (촬영시기 : 2025년 9월)
입천장에서 채취한 잇몸조직과
▲ 치주교정 종결 (촬영시기 : 2025년 10월)
약 1달 뒤 경과체크를 위해 내원하셨을 당시 모습입니다.
치료한 부위가 어디인지 구분하기 어려울 정도로
▲ 치주교정 치료전후 비교 (촬영시기 : 2024년 12월 / 2025년 10월)
약 9개월 간의 아랫니부분교정과 핀홀수술로
치주교정은 단순히 치아배열을 교정하는 게 아닙니다.
치료 받으시느라 고생 많으셨습니다 ^^
※ 모든 사진은 환자 본인의 동의를 얻어 |

하악 골융기(토러스, torus) 제거, 치조골성형술 치료전후

잇몸뼈이식 동반 어금니 임플란트 치료전후 (치과의사 선생님)

돌출입치아교정 치료전후 (발치, 미니스크류 활용)

거미스마일 구강전정술 치료전후 – 20대 여성

핀홀 잇몸재생치료 전후 – 20대 여성

전체임플란트 – 급속골이식을 동반한 브릿지임플란트 치료전후

잇몸퇴축, 아랫니 부분교정 치료전후 – 30대 여성, 치주교정

초등학생 부정교합 치료전후 (반대교합, 프리올소)

대상포진으로 인한 잇몸궤양, PDRN 치료전후

잇몸이식 및 임플란트 재수술 치료전후 - 20대 남성

치주교정을 통한 치아위치 개선, 앞니 부분교정 치료전후 (재교정)

잇몸검은색, 까만잇몸 개선하는 잇몸미백 치료전후