|
턱관절교정 개방교합 치료전후 (스플린트 후 인비절라인)
|
|---|
|
● 담당과 : 구강외과, 교정과
▲ 턱관절 방사선촬영 (촬영시기 : 2023년 9월)
환자분의 턱관절 방사선을 보면, 왼쪽 턱관절이 많이 녹은 상태로 또한 턱관절과 함께 경도의 개방교합도 관찰되었는데요. · Option ① 트랙션 치료 (100% 교합 개선은 한계가 있음) 총 3가지의 치료옵션을 제안드렸으며
스플린트는 약 4개월가량 착용하였습니다. CRS 스플린트는 저작근육을 이완시켜주어
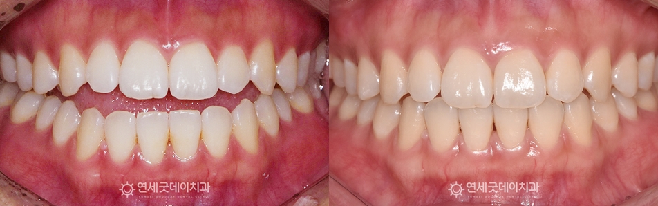
스플린트를 이용한 턱관절교정 후 교합이 일정해지고 환자분은 비발치로 진행되었으며 상하악의 구치부 함입을 ▲ 개방교합 교정 후 엑스레이 (촬영시기 : 2025년 7월) 1년 6개월 간의 인비절라인 교정이 종결되었습니다.
상하악의 공간이 줄어들며 개방교합이 완전히 해소되었고, 환자분은 심미적 목적 보다도 ▲ 개방교합 교정 전후비교 안타깝게도 개방교합은 재발 가능성이 높은 형태로 이에 연세굿데이에서는 개방교합 케이스에 한해 긴 치료 받으시느라 고생 많으셨습니다 :) |

돌출입 비발치교정 치료전후 – 20대 여성

신경치료 후 크라운 치료전후 – 자연치아 살리기

전체임플란트 및 상악동수술 치료전후 (50대)

턱교정, 트랙션을 이용한 오픈바이트 치료전후

부분교정 및 잇몸이식수술 치료전후 (치주교정, 엠도게인)

잇몸뼈 돌출 골융기절제술 치료전후

인비절라인을 이용한 개방교합 재교정 치료전후

All-on-X 전체임플란트 치료전후 (60대 여성)

재교정 후 핀홀 잇몸이식, 엠도게인 치료전후 (30대 여성)

임플란트 재수술(i-Reset) 치료전후, 60대 남성

치아파절, 재신경치료 후 PFM 크라운 치료전후

잇몸이식, 내려앉은잇몸 치료전후