|
재교정 후 핀홀 잇몸이식, 엠도게인 치료전후 (30대 여성)
|
|---|
|
● 담당과 : 교정과 + 치주과
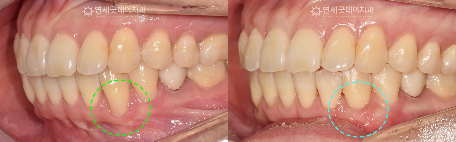
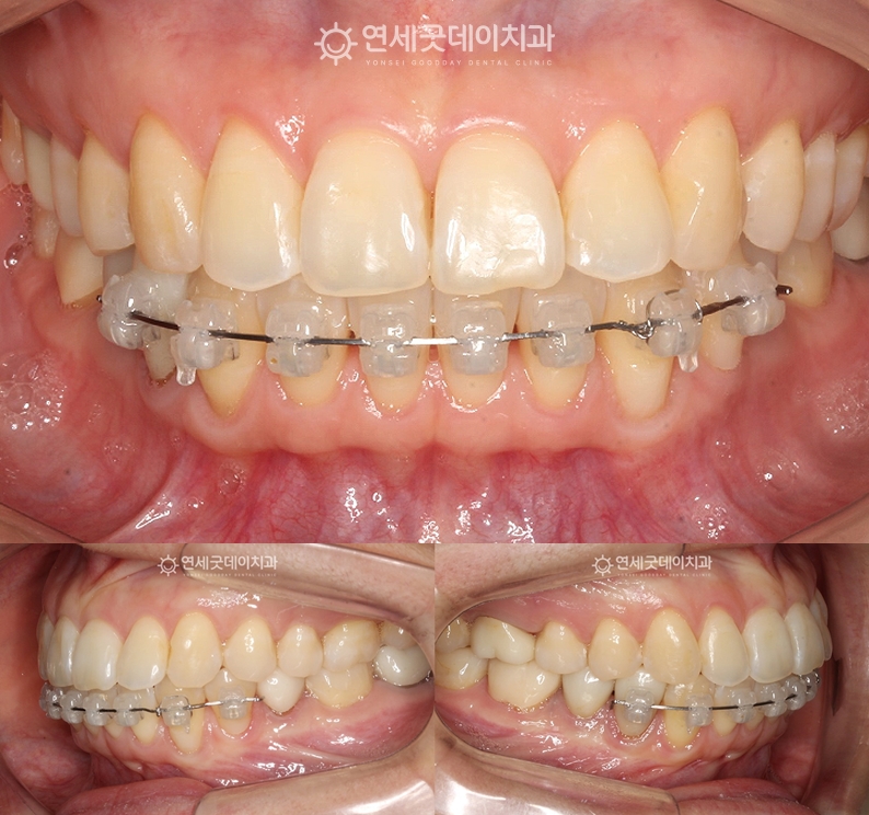
환자분은 이미 한번 교정을 하셨던 케이스로
좀 더 자세히 보면, 치아 머리는 올바른 위치에 있지만 이러한 경우 치아 뿌리를 잇몸뼈 안으로 재위치 시키고 환자분께 두 가지 치료 옵션을 제안드렸으며 ▼ 환자분께 제안드린 치료 옵션
환자분은 #33 치아의 뿌리 방향을 조절하여 이 과정은 단순히 겉보기 배열이 아닌 11개월 간의 아랫니 부분 재교정을 진행하였으며
환자분의 경우, 치경부 마모를 개선하기 위해 이후 핀홀 잇몸이식과 엠도게인을 병행 적용하여
약 1달 후 경과 모습입니다. 치아가 올바른 각도에 재위치 하면서
교정 과정에서 나타날 수 있는 잇몸퇴축은 긴 치료 받으시느라 고생 많으셨습니다. ^^
※ 모든 사진은 본인의 동의를 얻어 동일조건에서 촬영하였으며 |

결손치로 인한 인비절라인 후 앞니 임플란트 치료전후

청소년 매복치 견인교정 치료전후 (10대)

트랙션을 이용한 개방교합, 턱관절 비대칭 치료전후

잇몸 내려앉음, 엠도게인 핀홀 치료전후

인비절라인 과개교합 교정 치료전후

전악 브릿지 임플란트 치료전후 (50대 남성)

치조골성형술을 통한 잇몸뼈 튀어나옴 개선 치료전후

30대 앞니임플란트 치료전후

돌출입 비발치교정 치료전후 – 20대 여성

신경치료 후 크라운 치료전후 – 자연치아 살리기

전체임플란트 및 상악동수술 치료전후 (50대)

턱교정, 트랙션을 이용한 오픈바이트 치료전후