홈으로 이동하기 이벤트페이지로 이동하기 사업자정보로 이동하기
All-on-X 전체임플란트 치료전후 (60대 여성)
관리자프로필

연세굿데이치과

치료사례 2026-02-11 조회수 1006

● 담당과 : 치주과 + 보철과
● 치료요약 : All-on-X 전체임플란트를 통한 심미 개선과 기능적 회복
(상악 치료종결, 하악 치료 진행중)


먼 해외에서 전체임플란트를 주소로
내원해주신 60대 여성 환자분이십니다.



▲ 치료 전 구내모습 (촬영시기 : 2025년 11월)
 

하악의 경우, 임플란트 틀니를 사용하고 계셨으며
상악은 치아의 파절, 뿌리쪽 염증이 관찰되며
전체적인 구강 건강이 매우 좋지 않은 상태셨습니다.



▲ 하악 틀니 제거 (촬영시기 : 2025년 11월)
 

임플란트 틀니를 제거하니 고정하던 금속 바(bar)가 드러났으며
하악 잇몸뼈는 대부분 소실되어 높이가 거의 남아있지 않는 상태였습니다.
 

금속 바는 하악에 식립한 임플란트를 서로 연결해 놓은 구조로
구조물 위로 틀니를 끼워 고정하는 방식입니다.
 

환자분의 경우, 하악은 기존 임플란트를 활용하여
All-on-X 방식으로 전환하고, 상악은 잔존치를 보존하면서
총 7개의 임플란트를 식립하는 All-on-X 치료계획을 수립하였습니다.



====================
✅  All-on-X 전체임플란트란?
====================
 

All-on-X 전체임플란트는 최소한의 임플란트를 활용해
전체 치아 기능을 회복하는 고정성 전체임플란트 치료입니다.
 

치아가 상실된 부위마다 각각 식립하는 방식이 아닌
4~6개의 임플란트를 전략적으로 식립하여 전체 보철을 지지하기 시스템입니다.
 

수술 부담과 경제적 부담을 줄이면서도
자연치아에 가까운 심미성과 저작기능을 기대할 수 있습니다.


▲ 하악 All-on-X 진행중 (촬영시기 : 2025년 11월)
 

환자분은 하악을 우선적으로 치료하신 후
추후 한국에 다시 내한하여 상악 All-on-X 치료를 받으시기로 했습니다.
 

하악은 임플란트 보철을 새로 제작하기 위해
기존 금속 바를 제거하고 치료를 진행했습니다.



▲ 하악 치료과정 (촬영시기 : 2025년 11월)
 

최종 보철물을 제작하기 전 단계에서
교합과 기능을 확인하기 위한 임시 보철 단계입니다.
 

기존에 쓰던 기성 바 형식이 아닌,
환자분의 구강 상태에 맞춰 CAD/CAM으로 맞춤 제작하여
더욱 편안하게 고정될 수 있도록 셋팅해드렸습니다.



▲ 하악 All-on-X 셋팅 및 상악 임플란트 식립
(촬영시기 : 2025년 12월)
 

하악은 All-on-X 치료가 마무리되었습니다.
 

상악은 골이식과 함께 7개의 임플란트를 식립했으며
비교적 상태가 양호했던 #17,26,27은 자연치아를 유지하는 것이
더 좋다고 판단되어 살리는 방향으로 도와드렸습니다.



▲ 상악 임플란트 식립(촬영시기 : 2025년 12월)
 

상악의 경우, 골이식을 통해 두툼한 잇몸뼈가 형성되었으며
그 위에 식립된 임플란트가 잘 고정된 모습입니다.
 

하악은 맞춤형 바를 고정하여 임플란트 틀니를 연결하였고
기존 대비 심미적이면서 안정적인 고정성을 확인하였습니다.



▲ 상악 진행중, 하악 치료 종결 (촬영시기 : 2025년 12월)
 

하악 All-on-X 치료가 마무리되었습니다.
 

잇몸이 눌리는 부위는 없는지, 틀니의 모양과
교합은 이상적인지 등 정교하고 세심하게 점검하였으며
내면까지 안정적으로 잘 맞는 상태임을 확인하였습니다.



▲ All-on-X 전체임플란트 치료후 (촬영시기 : 2025년12월)
 

치료 후에는 이전보다 훨씬 편해지고, 심미적으로 개선되었다며
환자분께서도 높은 만족감을 표현해주셨습니다.
 

현재 상악은 임시 틀니를 제작해드린 상태이며
약 3개월 후 All-on-X 치료를 이어서 진행할 예정입니다.
 


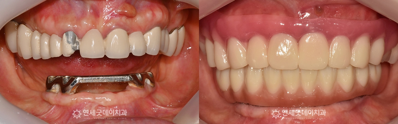
▲ All-on-X 전체임플란트 치료전후
(촬영시기 : 2025년11월 / 2025년12월)
 

심미성 개선은 물론 자연치아에 가까운
우수한 고정력과 안정적인 저작력을 기대할 수 있는 결과를 얻었습니다.
 

All-on-X는 임플란트의 각도와 위치를 고려해
전략적인 치료계획 수립이 가능하다는 장점이 있습니다.
특히 잇몸뼈 소실이 크거나 고정성 임플란트 개수에
부담이신 경우에 좋은 대안이 될 수 있는 치료방법입니다.
 

먼 해외에서 믿고 내원해주신 만큼
남은 상악 치료 역시 진심을 다해 마무리 해드리겠습니다.
 

치료 받으시느라 고생 많으셨습니다 :)



※ 모든 사진은 본인의 동의를 얻어 동일조건에서 촬영하였으며
개인에 따라 부작용이 발생할 수 있으므로 전문의와 상담이 필요합니다.

1 2 3 4 5