홈으로 이동하기 이벤트페이지로 이동하기 사업자정보로 이동하기
인비절라인을 이용한 개방교합 재교정 치료전후
관리자프로필

연세굿데이치과

치료사례 2026-02-19 조회수 1150

● 담당과 : 교정과
● 치료요약 : 인비절라인을 이용한 개방교합 재교정 진행
 

개방교합으로 인한 재교정을 주소로 내원하신
10대 여성 환자분이십니다.


개방교합 재교정 치료전으로, 상하악이 떠있는 모습
▲ 재교정 전 (촬영시기 : 2024년 2월)
 

어금니 교합은 유지되고 있으나 앞니 사이가 떠있는
개방교합이 관찰되는 모습입니다.
 

환자분은 2021년도에 한 차례 교정을 진행하셨으며
이후 턱관절 증상이 나타나면서 약 6개월간
대학병원에서 스플린트 치료를 받으셨습니다.
 

스플린트를 착용하면서 개방교합이 발생하였고
타 병원에서는 양악수술 진단까지 받으셨으나
가능한 교정치료를 통해 개선하길 희망하셨습니다.


인비절라인 재교정 전 모습으로 심한 개방교합 관찰됨
▲ 치료 전 – 심한 개방교합 (촬영시기 : 2024년 2월)
 

환자분은 대학병원에서 턱관절 물리치료를 받은 후
증상이 많이 호전된 상태로 내원하셨으며
본원 정밀진단 결과에서도
턱이 안정화 되었음을 확인하였습니다.
 

다만 급성으로 진행된 심도의 개방교합이 관찰되어
인비절라인을 이용해 상하악 구치부 함입을 유도하는
재교정 치료계획을 수립했습니다.


인비절라인을 이용해 개방교합 재교정 진행 중인 모습
▲ 인비절라인 치료중 (촬영시기 : 2025년 6월)
 

환자분은 효과적인 치아 이동을 위해 어태치먼트와
메탈버튼, 클리어버튼을 부착해 재교정을 진행하였으며,
약 1년 4개월만에 심도의 개방교합에서
기능적으로 안정된 정상교합에 가까운 상태로 회복된 모습입니다.


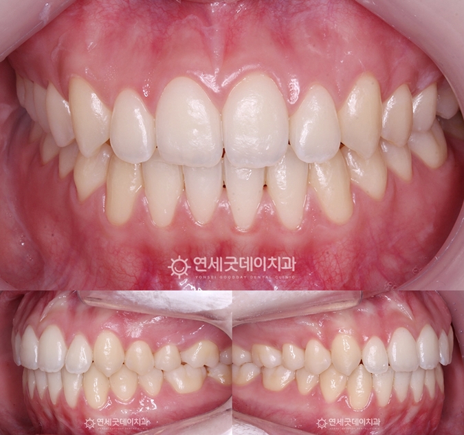
인비절라인을 이용한 개방교합 재교정 치료종료
▲ 개방교합 재교정 종결 (촬영시기 : 2025년 12월)
 

약 2년 간의 비발치 전체교정을 통해 개방교합이 완화되고
어금니부터 앞니까지 균형있게 맞물리는 교합이 형성되었습니다.

단순히 앞니 공간만 닫는 것이 아니라
구치부의 함입을 유도해 전반적인 치열의
밸런스를 함께 조절하여 이상적인 상태로 개선되었습니다.


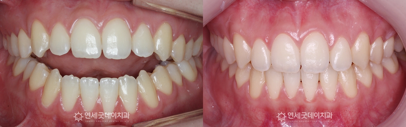
개방교합 재교정 치료전후 안모 비교

개방교합 재교정 치료전후 구내 비교
▲ 개방교합 재교정 치료전후
(2024년 2월 / 2025년 12월)
 

개방교합으로 생긴 공간이 폐쇄되면서
안모 역시 한층 자연스럽고 부드럽게 개선되며
기능적 회복은 물론 심미적으로 의미있는 변화를 이루었습니다.
 

개방교합은 재발 가능성이 높은 부정교합으로
치료 이후의 유지관리가 중요합니다.
특히 근육 변화가 활발할수록 재발 위험이 높기 때문에
치료 후에도 정기적인 관리가 필수적입니다.
 

환자분은 턱관절 질환으로 인한 개방교합 케이스로
일반 가철식 유지장치 대신 트랙션 장치를 이용하여
유지관리 및 재발 에방을 진행하고 있답니다.
 

긴 치료 받으시느라 고생 많으셨습니다 :)

※ 모든 사진은 본인의 동의를 얻어 동일조건에서 촬영하였으며
개인에 따라 부작용이 발생할 수 있으므로 전문의와 상담이 필요합니다.

1 2 3 4 5