|
부분교정 및 잇몸이식수술 치료전후 (치주교정, 엠도게인)
|
|---|
|
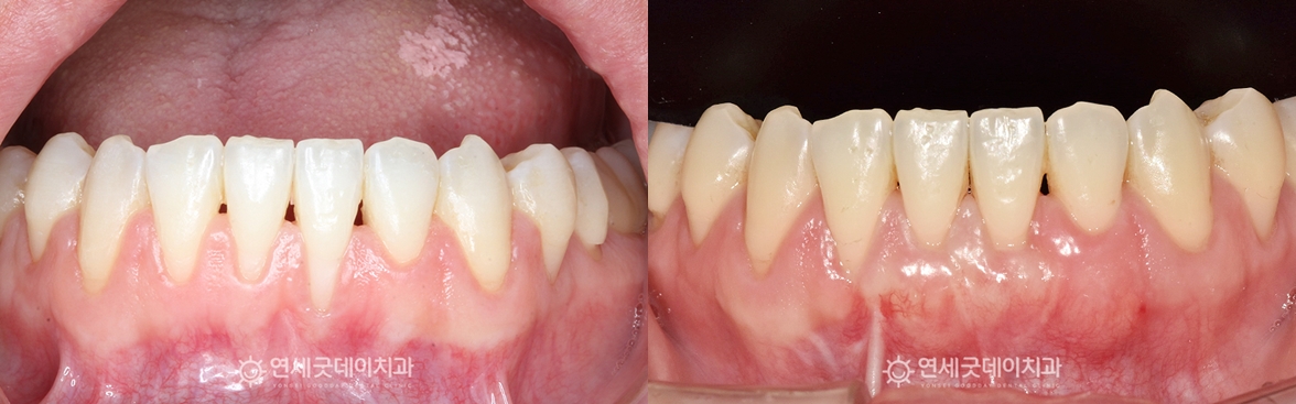
● 담당과 : 교정과 + 치주과 아랫니의 잇몸퇴축으로 내원해주신
아래 앞니 부위의 잇몸퇴축이 뚜렷하게 관찰됩니다.
측면에서 보면 다른 치아들에 비해 #31 부위의 이러한 구조적 문제를 개선하기 위해 ❏ Option 1. 부분교정 후 잇몸이식수술 (치주교정) 환자분께서는 근본적인 해결 방법인 1번 방법을 선택하셨으며 약 8개월 간의 부분교정을 마친 모습입니다. 순측으로 경사졌던 치아가 올바른 위치로 이동하였으며 이후 하악 전치부의 잇몸을 전반적으로 보강하기 위해
입천장에서 잇몸조직을 채취한 뒤,
잇몸이식수술 후 10일 뒤 경과 체크 당시 모습입니다. 이식 부위가 잘 아물면서 두툼한 잇몸이 형성되는 양상을 확인할 수 있었습니다.
한 달 뒤에는 수술 부위가 안정적으로 치유되어
약 8개월 간의 부분교정과 잇몸이식수술을 통해 치주교정은 치열과 잇몸 문제가 동시에 관찰될 때, 치료 받으시느라 고생 많으셨습니다. ^^ ※ 모든 사진은 본인의 동의를 얻어 동일조건에서 촬영하였으며 |

30대 앞니임플란트 치료전후

돌출입 비발치교정 치료전후 – 20대 여성

신경치료 후 크라운 치료전후 – 자연치아 살리기

전체임플란트 및 상악동수술 치료전후 (50대)

턱교정, 트랙션을 이용한 오픈바이트 치료전후

잇몸뼈 돌출 골융기절제술 치료전후

인비절라인을 이용한 개방교합 재교정 치료전후

All-on-X 전체임플란트 치료전후 (60대 여성)

재교정 후 핀홀 잇몸이식, 엠도게인 치료전후 (30대 여성)

임플란트 재수술(i-Reset) 치료전후, 60대 남성

치아파절, 재신경치료 후 PFM 크라운 치료전후

턱관절교정 개방교합 치료전후 (스플린트 후 인비절라인)