|
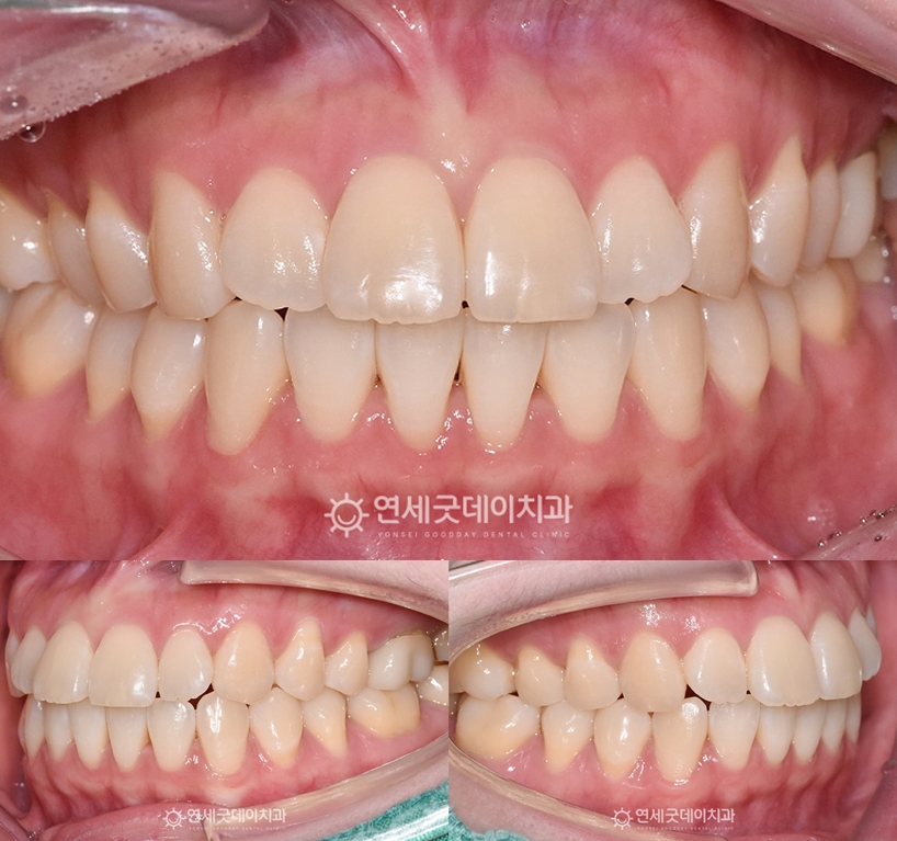
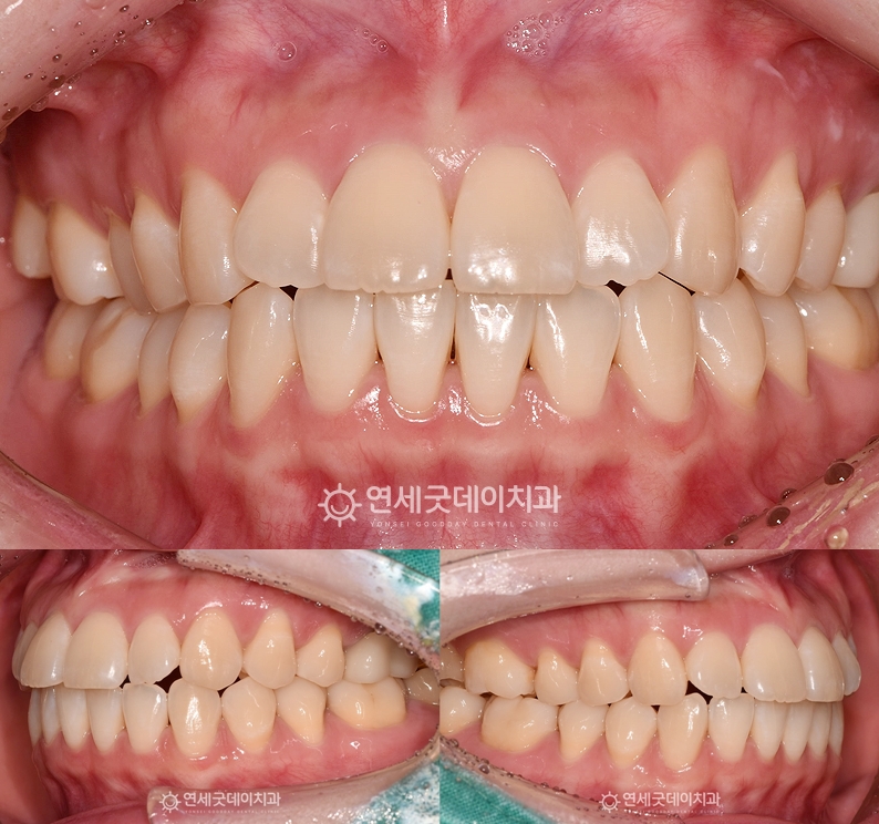
턱교정, 트랙션을 이용한 오픈바이트 치료전후
|
|---|
|
● 담당과 : 구강외과 턱관절 상담을 주소로 내원해주신
육안으로 확인했을 때 경미한 오픈바이트가 관찰됩니다. 환자분께서는 입을 벌릴 때 턱이 걸리는 느낌이 들고
턱관절 파노라마를 촬영하였으며 다행히 현재 턱관절 관절염이 진행 중인 상태는 아니었으며 정밀진단 후 환자분께 3가지 치료 옵션을 설명드렸습니다. ➊ 트랙션 3번은 적극적인 치료 없이 경과를 관찰하는 방법이지만 환자분께서는 1번 트랙션 치료를 선택하셨으며
트랙션을 착용한 이후로 턱 근육의 긴장감이 풀리고 트랙션에 걸어 쓰는 고무줄은 2~3일마다
턱관절 파노라마 상에서도 턱관절은 아래턱과 혀의 위치 조절, 어깨 및 자세 교정 등
약 1년 2개월 간의 트랙션 치료를 통해 다만 개방교합은 재발 가능성이 높기 때문에
턱관절 질환으로 생긴 오픈바이트와 후퇴된 턱은 긴 치료 받으시느라 고생 많으셨습니다 :)
|

전악 브릿지 임플란트 치료전후 (50대 남성)

치조골성형술을 통한 잇몸뼈 튀어나옴 개선 치료전후

30대 앞니임플란트 치료전후

돌출입 비발치교정 치료전후 – 20대 여성

신경치료 후 크라운 치료전후 – 자연치아 살리기

전체임플란트 및 상악동수술 치료전후 (50대)

부분교정 및 잇몸이식수술 치료전후 (치주교정, 엠도게인)

잇몸뼈 돌출 골융기절제술 치료전후

인비절라인을 이용한 개방교합 재교정 치료전후

All-on-X 전체임플란트 치료전후 (60대 여성)

재교정 후 핀홀 잇몸이식, 엠도게인 치료전후 (30대 여성)

임플란트 재수술(i-Reset) 치료전후, 60대 남성