|
전체임플란트 및 상악동수술 치료전후 (50대)
|
|---|
|
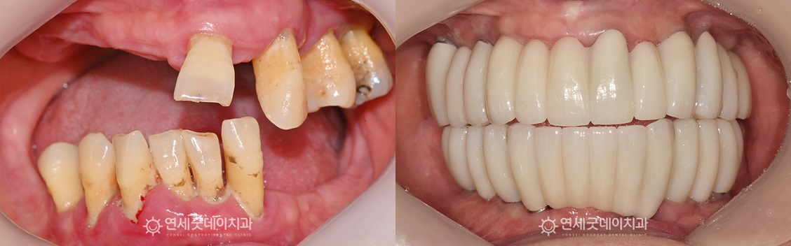
● 담당과 : 치주과 + 구강외과 전체적인 치아와 임플란트 상담을 주소로
환자분은 앞니와 일부 치아만 보이고
엑스레이 상에서도 여러 치아가 이미 빠져있었으며 잇몸뼈 역시 치아 상실 후 뼈흡수로 인해 무엇보다 어금니 부위 대부분이 상실되어 있어
남아있는 치아들도 잇몸에 간신히 고정되어 있는 상태였기 때문에
환자분은 특히 상악 골소실이 심한 상태셨기 때문에 윗니의 잇몸뼈 두께가 얇은 상태에서 상악동수술 이후 오스템 임플란트를 식립해드렸으며
전체임플란트 치료를 마친 후 엑스레이 모습입니다. 꼭 필요한 위치에만 임플란트를 식립한 뒤
전체임플란트 식립 이후 보철 제작 단계에서도 또한, 환자분의 니즈를 반영하여 치아 모양과 길이,
치료 마무리 후에는 스마일라인이 자연스러워지고
다수의 치아를 상실하게 되면 연세굿데이치과는 환자분의 상태와 환경을 고려하여 긴 치료 받으시느라 고생 많으셨습니다 :) ※ 모든 사진은 본인의 동의를 얻어 동일조건에서 촬영하였으며 |

턱교정, 트랙션을 이용한 오픈바이트 치료전후

부분교정 및 잇몸이식수술 치료전후 (치주교정, 엠도게인)

잇몸뼈 돌출 골융기절제술 치료전후

인비절라인을 이용한 개방교합 재교정 치료전후

All-on-X 전체임플란트 치료전후 (60대 여성)

재교정 후 핀홀 잇몸이식, 엠도게인 치료전후 (30대 여성)

임플란트 재수술(i-Reset) 치료전후, 60대 남성

치아파절, 재신경치료 후 PFM 크라운 치료전후

턱관절교정 개방교합 치료전후 (스플린트 후 인비절라인)

잇몸이식, 내려앉은잇몸 치료전후

인비절라인 과개교합 및 거미스마일 치료전후

임플란트 재수술 치료전후 – 50대 남성