|
돌출입 비발치교정 치료전후 – 20대 여성
|
|---|
|
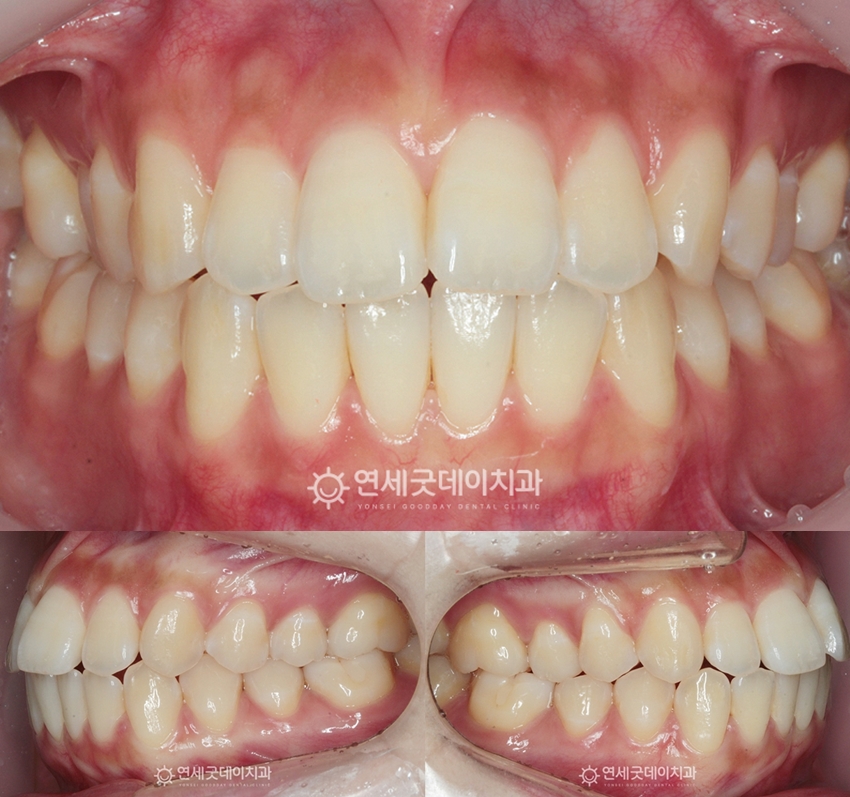
● 담당과 : 교정과
환자분은 교합은 괜찮은 것 같은데 진단 결과, 전치부가 전방으로 살짝 뻗친 상태였으며 또한, 입을 다물 때 불필요한 힘이 가해지며 상악 악궁은 V 형태로 공간이 좁은 구조였으며
환자분은 전치부의 뻗친 부분을 수직으로 세워 각도를 개선하고 환자분께서는 옆모습의 변화도 함께 희망하셨으나
약 1년 6개월 간의 비발치교정을 마무리한 모습입니다. 앞으로 뻗쳐있던 전치부의 각도가 개선되었으며
또한, 기존의 좁은 V자 형태 악궁에서
비발치교정이었음에도 불구하고 치아 배열과 스마일라인이 이상적인 대칭을 이루고 또한, 입을 다물 때도 한결 편해지고
돌출입교정의 핵심은 입이 너무 들어가거나 케이스에 따라 발치가 필요한 경우도 있지만 긴 치료 받으시느라 고생 많으셨습니다. ^^ ※ 모든 사진은 본인의 동의를 얻어 동일조건에서 촬영하였으며 |

신경치료 후 크라운 치료전후 – 자연치아 살리기

전체임플란트 및 상악동수술 치료전후 (50대)

턱교정, 트랙션을 이용한 오픈바이트 치료전후

부분교정 및 잇몸이식수술 치료전후 (치주교정, 엠도게인)

잇몸뼈 돌출 골융기절제술 치료전후

인비절라인을 이용한 개방교합 재교정 치료전후

All-on-X 전체임플란트 치료전후 (60대 여성)

재교정 후 핀홀 잇몸이식, 엠도게인 치료전후 (30대 여성)

임플란트 재수술(i-Reset) 치료전후, 60대 남성

치아파절, 재신경치료 후 PFM 크라운 치료전후

턱관절교정 개방교합 치료전후 (스플린트 후 인비절라인)

잇몸이식, 내려앉은잇몸 치료전후