|
개방교합 턱관절교정 치료전후 – 트랙션 유지
|
|---|
|
● 담당과 : 구강외과 + 교정과
턱관절교정을 주소로 내원해주신 20대 여성 환자분이십니다.
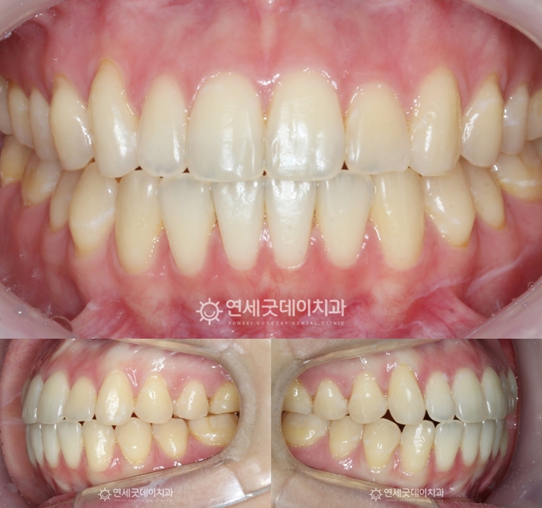
편안하게 물었을 때 어금니만 교합되고, 앞니가 뜨는 개방교합이 관찰됩니다.
턱관절의 퇴행성관절염은 10대 중후반~ 20대 초반의 여성에게 많이 나타납니다.
환자분은 과거 턱관절 디스크탈출증으로 인해
퇴행성관절염은 멈춘 상태였으나 턱이 많이 불안정하여
--------------------------- ▶ Check Point 🖍
턱관절이 안정화되지 않은 상태에서 개방교합 교정을 진행하면 ---------------------------
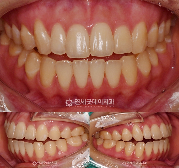
약 7개월 간의 스플린트 치료로 턱관절이 편안한 위치로 이동하면서
턱관절교정 후에는 개방교합을 개선하고 완전한 교합을 위해 비발치 인비절라인 교정 진행했습니다.
최근 약 2년 간의 인비절라인 교정을 마치셨습니다.
긴 치료과정이었지만 개방교합이 닫히고, 어금니부터 앞니까지
▲ 턱관절교정 치료전후 비교
또한 비발치 교정이었음에도 불구하고 개방교합이 개선되면서
▲ 트랙션 유지장치 착용 모습
환자분은 이미 한번의 재발 경험이 있었기 때문에
연세굿데이는 세브란스와 동일한 프로토콜로
긴 치료 받으시느라 고생 많으셨습니다~!
※ 모든 사진은 환자의 동의를 얻어 동일조건에서 촬영하였습니다. |

돌출입 비발치교정 치료전후 – 20대 여성

신경치료 후 크라운 치료전후 – 자연치아 살리기

전체임플란트 및 상악동수술 치료전후 (50대)

턱교정, 트랙션을 이용한 오픈바이트 치료전후

부분교정 및 잇몸이식수술 치료전후 (치주교정, 엠도게인)

잇몸뼈 돌출 골융기절제술 치료전후

인비절라인을 이용한 개방교합 재교정 치료전후

All-on-X 전체임플란트 치료전후 (60대 여성)

재교정 후 핀홀 잇몸이식, 엠도게인 치료전후 (30대 여성)

임플란트 재수술(i-Reset) 치료전후, 60대 남성

치아파절, 재신경치료 후 PFM 크라운 치료전후

턱관절교정 개방교합 치료전후 (스플린트 후 인비절라인)