|
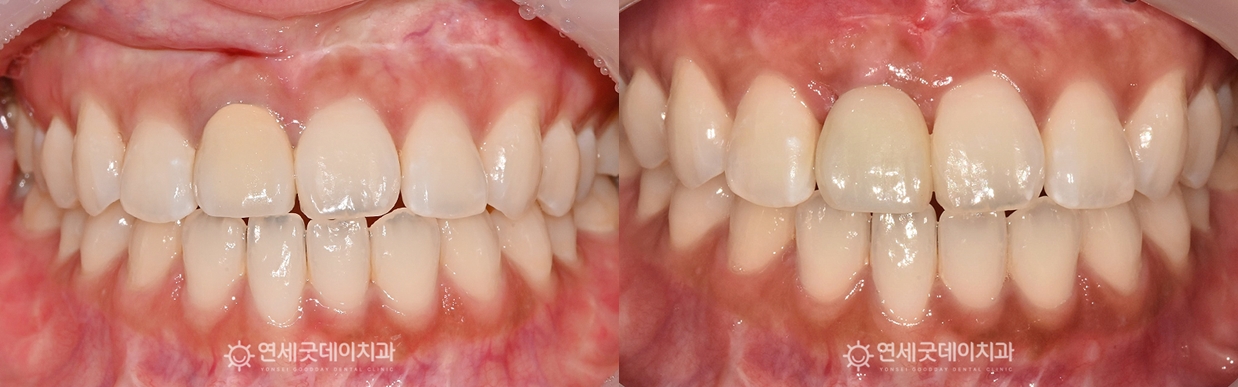
30대 앞니임플란트 치료전후
|
|---|
|
● 담당과 : 치주과
환자분은 타원에서 오른쪽 앞니 잇몸에 구멍이 나서 확인해보니 앞니 입술쪽(buccal)의 뼈가 얇고 또한 뿌리 주변을 감싸는 뼈 높이가
앞니는 구조적으로도 잇몸뼈가 얇은 편인데, 환자분은 앞니 발치 후 i-GBR을 통해 잇몸뼈 두께를 보강하고
발치한 치아의 뿌리 끝이 손상되었으며
발치 부위는 두툼한 잇몸뼈 재생을 위해
약 2개월 후 기존대비 잇몸뼈 높이와 두께가 보강되었으나 스트라우만은 70년 이상의 오랜 임상 데이터를 기반으로
검게 비어있던 잇몸 부위가 새로운 뼈로 채워지며
이후 지르코니아 크라운을 제작하여 치료를 마무리했습니다. 앞니는 위치상 심미적인 요소에 큰 영향을 미칩니다.
환자분은 아직 젊은 연령이셨기 때문에 앞니 잇몸뼈가 충분히 두툼해졌으며 긴 치료 받으시느라 고생 많으셨습니다 :) ※ 모든 사진은 본인의 동의를 얻어 동일조건에서 촬영하였으며 |

돌출입 비발치교정 치료전후 – 20대 여성

신경치료 후 크라운 치료전후 – 자연치아 살리기

전체임플란트 및 상악동수술 치료전후 (50대)

턱교정, 트랙션을 이용한 오픈바이트 치료전후

부분교정 및 잇몸이식수술 치료전후 (치주교정, 엠도게인)

잇몸뼈 돌출 골융기절제술 치료전후

인비절라인을 이용한 개방교합 재교정 치료전후

All-on-X 전체임플란트 치료전후 (60대 여성)

재교정 후 핀홀 잇몸이식, 엠도게인 치료전후 (30대 여성)

임플란트 재수술(i-Reset) 치료전후, 60대 남성

치아파절, 재신경치료 후 PFM 크라운 치료전후

턱관절교정 개방교합 치료전후 (스플린트 후 인비절라인)