● 담당과 : 치주과
● 치료요약 : 잇몸뼈 튀어나옴으로 인해 치조골성형술 진행
잇몸뼈 돌출 상담을 희망하여
내원하셨던 30대 여성 환자분이십니다.

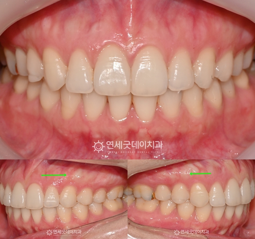
▲ 치료 전 (25년 7월)
환자분은 과거 치아교정을 하셨으나
상악 잇몸뼈가 돌출된 느낌으로 인해
여전히 입매의 돌출감을 느끼셨습니다.

▲ 치조골성형술 치료 전 – 무보정 사진 (25년 7월)
검진 결과, 상악 좌우측에 잇몸뼈 튀어나옴이 관찰되었고
특히 오른쪽 뼈가 더 많이 발달된
잇몸뼈 비대칭도 확인되었습니다.
이처럼 잇몸뼈 자체가 돌출된 경우에는
치아교정을 했음에도 돌출감이 해소되지 않을 수 있습니다.
환자분은 잇몸뼈 튀어나옴을 해소하기 위해
치조골성형술 치료계획을 수립하였으며
인상이 많이 달라지는 것은 원치 않으셨기에
골 삭제량을 최소화하는 방향으로 진행하기로 했습니다.


▲ 치조골성형술 과정 (25년 9월)
잇몸을 절개한 뒤, 치조골성형술을 진행하여
불규칙한 잇몸뼈를 편평하게 정리한 후 봉합해드렸습니다.
✅ 치조골성형술은 돌출된 뼈를
bur로 정교하게 다듬어 균형을 맞추고
잇몸뼈 튀어나옴을 개선하는 술식입니다.
무통마취 또는 수면마취(의식하진정요법)으로
진행되기 때문에 환자분이 느끼시는 통증은 거의 없는 편입니다 :)

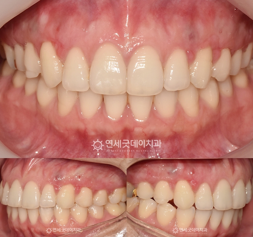
▲ 치조골성형술 치료후 – 무보정 사진 (25년 9월)
10일 뒤 수술 부위가 안정적으로 회복되었으며
상악 양측 잇몸뼈가 대칭을 이루는 모습입니다.

▲ 치료후 (25년 9월)
무엇보다 치조골성형술을 통해
교정만으로는 개선이 어려웠던 돌출감 해소와
한층 더 자연스러워진 입매로 개선되었습니다.


▲ 치조골성형술 치료전후 (25년 7월 / 25년 9월)
아주 미묘한 변화이지만 입술 눌림 현상이 완화되면서
더 심미적인 스마일라인으로 개선되었고
환자분께서도 높은 만족도를 보여주셨습니다.
경미한 잇몸뼈 튀어나옴이라도 개인에 따라
콤플렉스로 느껴질 수 있습니다.
교정 후에도 지속적인 돌출감이 느껴진다면
치아가 아닌, 잇몸뼈 자체의 문제일 수도 있으므로
치주과에서 정확한 진단을 받아보시길 권유드립니다.
치료 받으시느라 고생 많으셨습니다. ^^
※ 모든 사진은 본인의 동의를 얻어 동일조건에서 촬영하였으며
개인에 따라 부작용이 발생할 수 있으므로 전문의와 상담이 필요합니다.