|
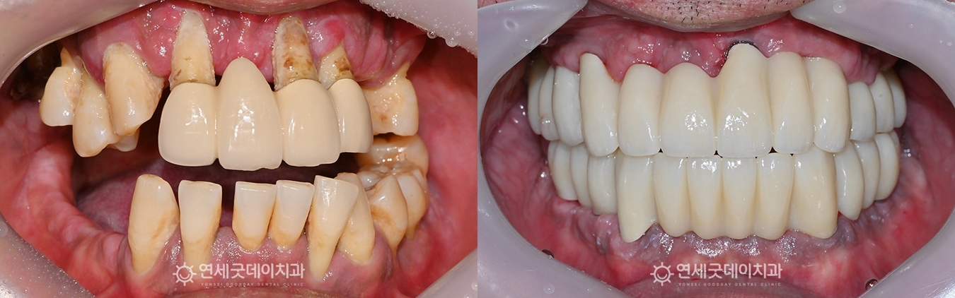
전악 브릿지 임플란트 치료전후 (50대 남성)
|
|---|
|
● 담당과 : 치주과 + 보철과 전반적인 임플란트 상담을 위해
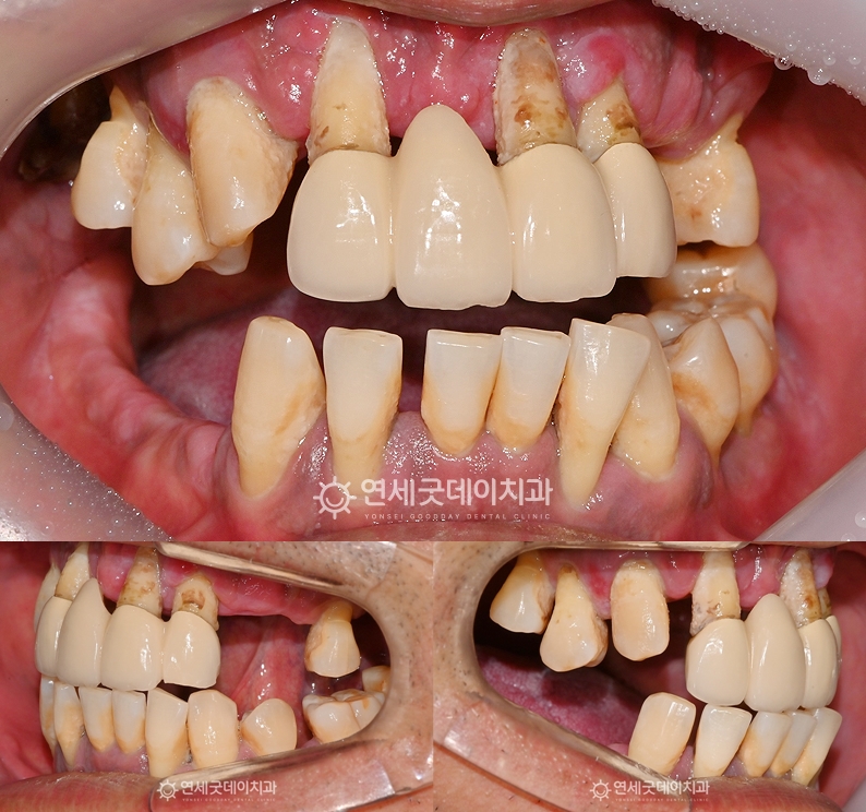
환자분은 중등도 이상의 치주질환으로 인해 이로 인해 치아 배열이 불규칙해지고
엑스레이 상에서도 상하악 모두 이 밖에도 좌우 어금니가 상실되었고
앞니 일부는 크라운으로 수복된 상태였으며 또한 잔존치의 예후도 좋지 않았기 때문에
잔존치 발치와 동시에 임플란트 뼈이식과
수술 당일에 브릿지 임플란트 임시치아까지 환자분은 전악임플란트 치료이지만 모든 부위에
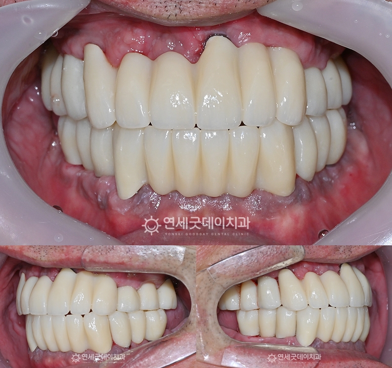
전악임플란트 치료를 마친 후의 모습입니다. 광범위하게 소실되었던 잇몸뼈는 뼈이식을 통해
특히 길어보였던 전치부 잇몸 라인을 보완하며 또한 어금니 교합도 안정적으로 형성되었으며
치료 전 모습이 떠오르지 않을 정도로
환자분은 다수의 치아 상실이 있었을 뿐만 아니라 그럼에도 환자분의 구강 상태에 맞춘 치료계획과 먼 울진에서 내원하시느라 고생 많으셨으며
※ 모든 사진은 본인의 동의를 얻어 동일조건에서 촬영하였으며 |

치조골성형술을 통한 잇몸뼈 튀어나옴 개선 치료전후

30대 앞니임플란트 치료전후

돌출입 비발치교정 치료전후 – 20대 여성

신경치료 후 크라운 치료전후 – 자연치아 살리기

전체임플란트 및 상악동수술 치료전후 (50대)

턱교정, 트랙션을 이용한 오픈바이트 치료전후

부분교정 및 잇몸이식수술 치료전후 (치주교정, 엠도게인)

잇몸뼈 돌출 골융기절제술 치료전후

인비절라인을 이용한 개방교합 재교정 치료전후

All-on-X 전체임플란트 치료전후 (60대 여성)

재교정 후 핀홀 잇몸이식, 엠도게인 치료전후 (30대 여성)

임플란트 재수술(i-Reset) 치료전후, 60대 남성